Spring Savings Event – $1,000 Off Braces or Clear Aligners
Now through May 15 • Start your smile transformation and save big!
Terms & conditions apply
2501 Cason St Lafayette, IN 47904
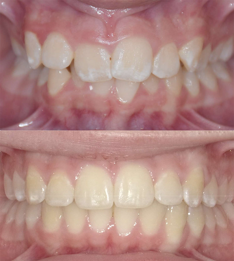
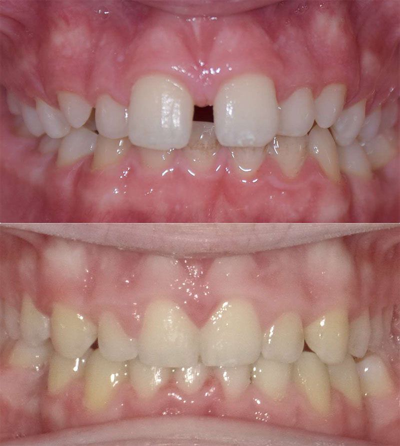
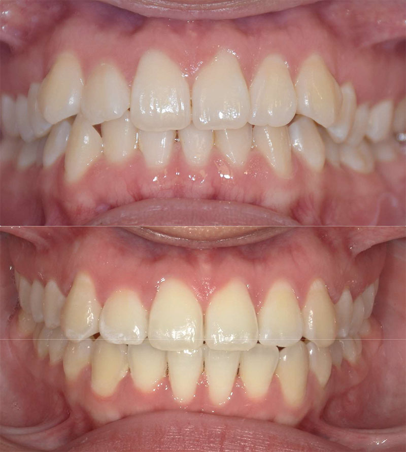
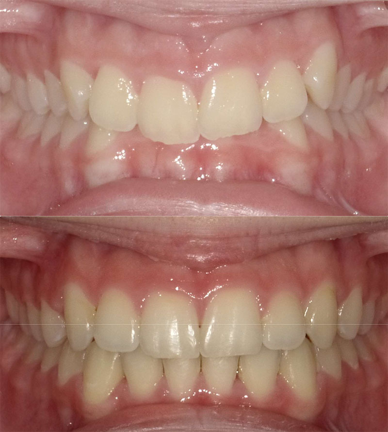
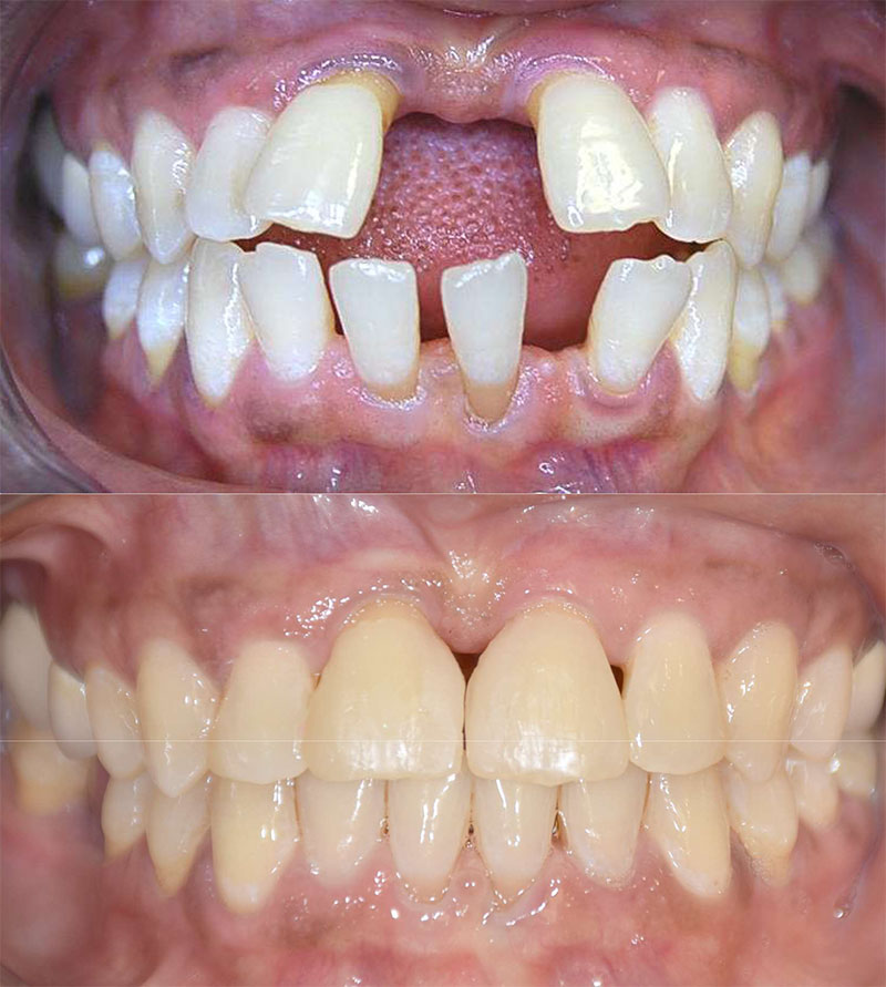
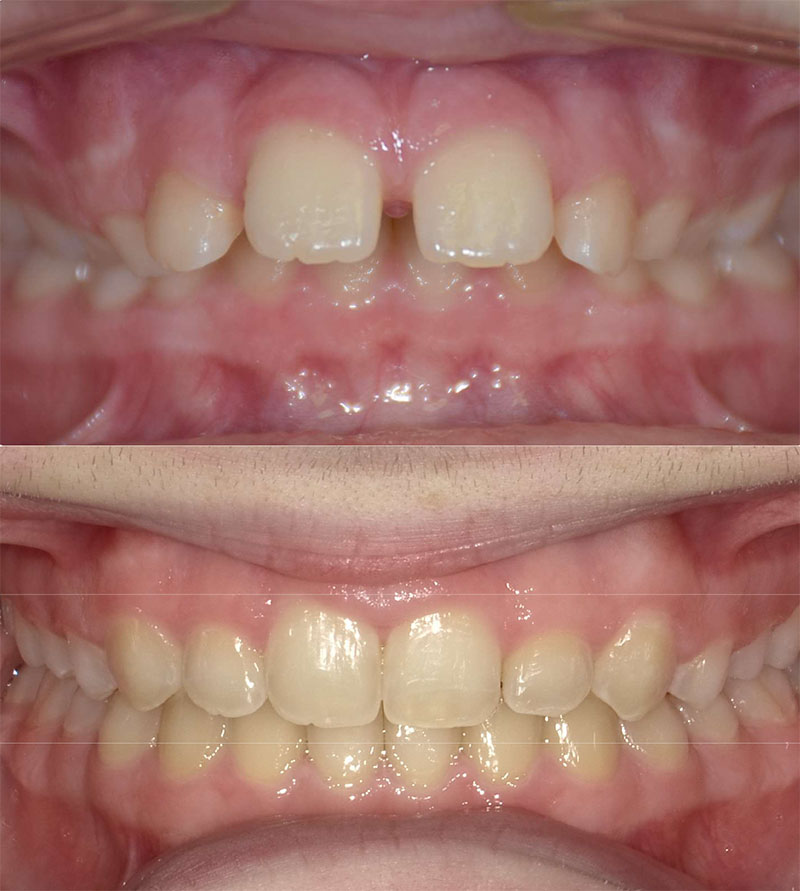
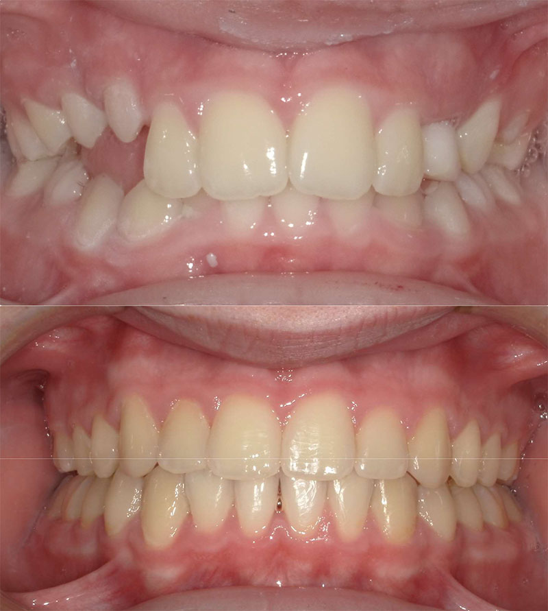
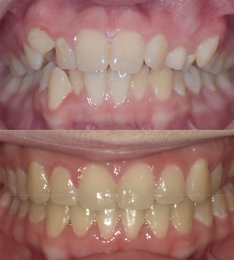
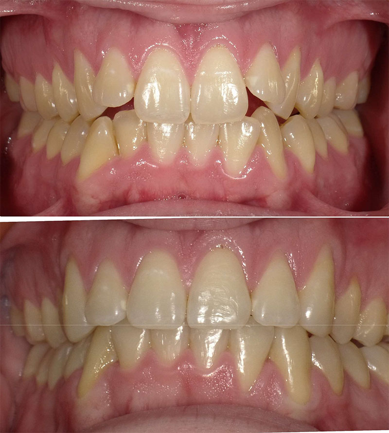
See some of our patients’ before and after photos next time you visit our practice.
Request Your Appointment Today